Telefones: (48) 3045-6808 (48) 9.9989-2556

Implante Sem Corte (Cirurgia Guiada)

Popularmente conhecida como cirurgia sem corte, a instalação de implantes de um sítio para o futuro trazendo maior agilidade, maior conforto e previsibilidade durante a instalação dos implantes.

Este procedimento é tão seguro por que operamos mais confortáveis para o paciente, utilizando tecnologia avançada para planejamento digital preciso.

Cirurgia Guiada 3D Planejamento Digital
Cirurgia Guiada 3D
Planejamento Digital

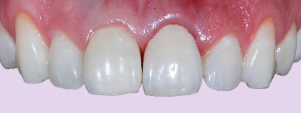
Além da agilidade e do conforto pós operatório, o planejamento como fundamento garante a melhor posição para a colocação do implante, trazendo benefícios estéticos e aumentando expressivamente a taxa de sucesso clínico.

Vantagens da Cirurgia Guiada:

• Menor trauma cirúrgico
• Redução do tempo de cirurgia
• Menor sangramento e edema
• Recuperação mais rápida

Como fazer implante
Sedação inalatória
Guia Cirúrgico

Tecnologia de Ponta: A cirurgia guiada é ideal para pacientes com problemas sistêmicos como por exemplo: pressão alta, desordens de coagulação, diabetes.

Utilizamos softwares especializados e tomografias computadorizadas para criar um guia cirúrgico personalizado, garantindo precisão milimétrica na colocação dos implantes.

O resultado é um procedimento mais previsível, com menor desconforto pós-operatório e cicatrização otimizada.

Guia Cirúrgico

Precisão Milimétrica

PLANEJAMENTO DIGITAL AVANÇADO:

Nosso protocolo de cirurgia guiada utiliza tecnologia 3D para mapear com precisão a posição ideal do implante, considerando a anatomia única de cada paciente e garantindo resultados estéticos e funcionais superiores.

Tomografia 3D
Como fazer protocolo
Implante zigomático

Indicações da Cirurgia Guiada:

• Pacientes com pouco osso disponível
• Casos que exigem alta precisão estética
• Implantes em área posterior
• Pacientes com limitações sistêmicas
• Múltiplos implantes

A técnica permite instalação de implantes mesmo em situações anatômicas complexas, oferecendo maior segurança e previsibilidade.

Precisão Cirúrgica

AGENDE SUA AVALIAÇÃO

Escolha como você prefere ser atendido.

Deixe seu contato

Oralize